CMC Joint Replacement Surgery – Restore Thumb Mobility with Expert Care in London
Are you struggling with thumb pain, stiffness, or arthritis? Regain your hand strength and freedom with expert CMC joint replacement surgery in London.
Living with chronic thumb pain can be frustrating and limiting—especially when it affects simple, everyday tasks like gripping, writing, or opening a jar. One of the most common causes of this discomfort is basal joint arthritis, also known as carpometacarpal (CMC) joint arthritis. Fortunately, CMC joint replacement surgery offers an effective solution to restore function and relieve pain.
If you're in London and struggling with thumb joint pain, this article will walk you through what thumb replacement surgery is, who it’s for, and what you can expect from a specialist-led procedure.
What Is the CMC Joint?
The CMC joint is located at the base of the thumb, where the first metacarpal bone meets the trapezium bone in the wrist. This joint is responsible for a wide range of thumb movements, including gripping and pinching.
Over time, wear and tear or injury can lead to osteoarthritis, causing pain, stiffness, and reduced mobility in the thumb. When conservative treatments fail, CMC joint replacement surgery becomes a viable and highly effective option.
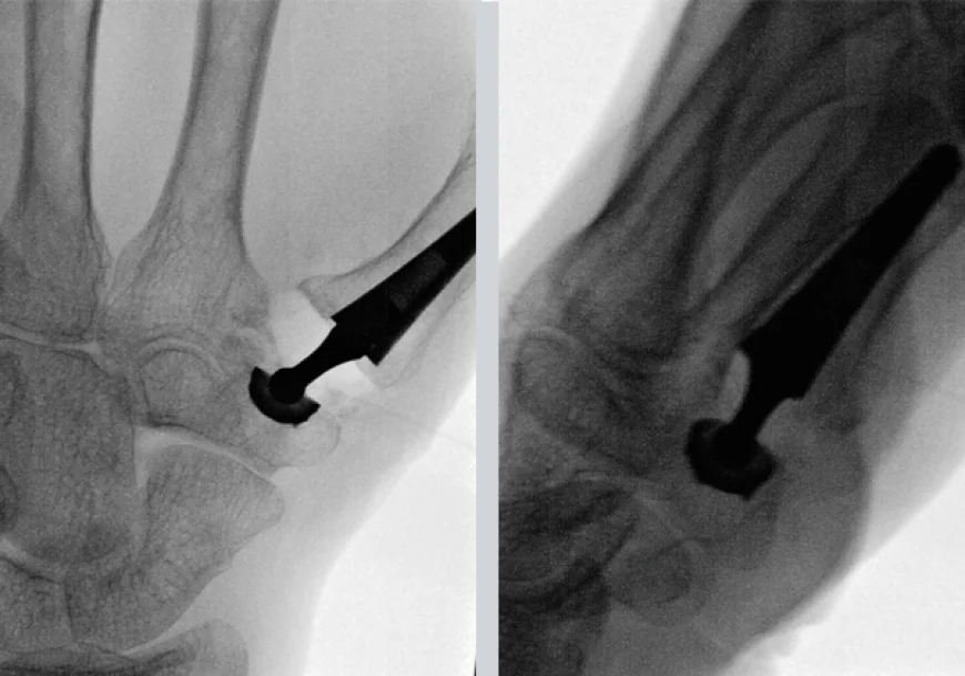
What Is CMC Joint Replacement Surgery?
CMC joint replacement surgery, also called thumb basal joint arthroplasty, involves removing the damaged joint surfaces and replacing them with either a soft tissue spacer or an artificial implant. The goal is to relieve pain, restore thumb function, and improve hand strength.
In London, this surgery is performed by highly experienced hand and upper limb specialists using the latest techniques and implants to ensure excellent outcomes and faster recovery.
Who Needs Thumb Replacement Surgery?
You might be a candidate for thumb replacement surgery in London if:
- You have severe arthritis in the thumb CMC joint
- You experience chronic pain that limits daily activities
- Non-surgical treatments (splints, injections, medications) no longer provide relief
- Your grip strength and thumb mobility are significantly reduced
This procedure is especially beneficial for individuals with basal thumb arthritis, including older adults, manual workers, and those with long-term joint wear.
Benefits of CMC Joint Replacement Surgery
- Long-term pain relief
- Restored thumb movement and dexterity
- Improved grip and pinch strength
- Reduced deformity and joint instability
- High success rate with minimal downtime
The Procedure – What to Expect
Before Surgery
- Comprehensive consultation with an orthopaedic or hand surgeon
- X-rays or scans to assess the extent of arthritis
- Discussion of treatment options, risks, and implant types
During Surgery
- Usually performed under local or regional anaesthesia
- The arthritic surfaces of the CMC joint are removed
- A tendon graft or synthetic implant is inserted as a spacer
- The thumb is stabilized to ensure proper healing
After Surgery
- Temporary splinting or casting for 4–6 weeks
- Hand therapy begins shortly after to regain motion
- Full recovery typically takes 2–3 months
- Most patients return to normal activities with significant pain relief and improved function
Thumb Replacement Surgery in London – Why Choose a Specialist?
London is home to some of the UK’s most skilled orthopaedic and hand surgeons who specialize in CMC joint replacement surgery. Choosing a specialist ensures:
- Accurate diagnosis of your thumb arthritis
- Access to the latest surgical techniques and implants
- Personalised care and rehabilitation
- Reduced risk of complications and faster recovery
Patient Tip
Don’t ignore early signs of thumb arthritis—early intervention can prevent progression and offer more treatment options.
Conclusion
CMC joint replacement surgery is a life-changing procedure for patients suffering from chronic thumb arthritis. Whether you're a retiree, an office worker, or an athlete, restoring thumb mobility can make a world of difference in your daily life. If you're in London and seeking lasting relief, consult a thumb replacement surgery expert to explore your options.


