Transform Your Smile with Modern Dental Bonding Care
Explore advanced dental bonding for chipped, stained, or uneven teeth—quick cosmetic results that enhance confidence and preserve natural enamel.
Cosmetic dentistry continues to evolve, and Dental Bonding in Islamabad stands out as a practical solution for patients who want noticeable smile improvements without complex procedures. This technique is widely chosen by individuals looking for subtle yet effective cosmetic corrections in Islamabad, where lifestyle demands fast and reliable dental care.
Understanding Dental Bonding in Cosmetic Dentistry
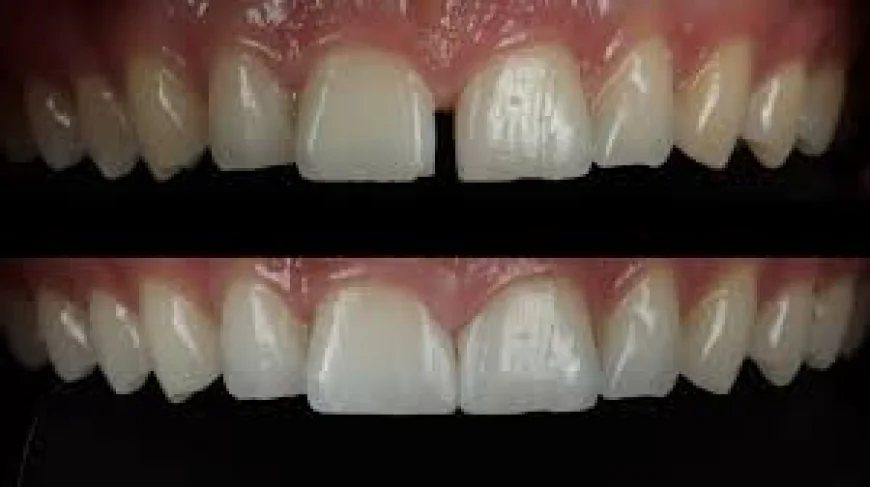
Dental bonding is a minimally invasive cosmetic treatment that uses a tooth-colored composite resin to enhance the appearance of teeth. The material is bonded directly to the enamel and artistically shaped to correct imperfections. Once cured and polished, it blends naturally with the surrounding teeth.
It is commonly used for:
-
Repairing small chips or cracks
-
Covering stubborn stains
-
Closing minor gaps
-
Improving tooth symmetry
Because it preserves most of the natural tooth structure, bonding is often recommended as a conservative cosmetic option.
Why Patients Prefer Dental Bonding
Dental bonding has gained popularity due to its balance of efficiency, comfort, and affordability. Many patients prefer it because it delivers immediate results without extensive preparation.
Key advantages include:
-
Single-visit treatment
-
No need for injections in most cases
-
Affordable compared to veneers or crowns
-
Natural-looking finish
This makes it an excellent choice for patients who want visible improvement without long recovery times.
The Role of Skill in Natural-Looking Results
While dental bonding is a straightforward procedure, the quality of results depends heavily on the dentist’s expertise. Proper shade selection, contouring, and polishing are essential to ensure the bonded tooth matches surrounding teeth in both color and texture.
A well-performed bonding procedure should:
-
Reflect light like natural enamel
-
Feel smooth and comfortable
-
Maintain balanced tooth proportions
-
Blend seamlessly into the smile line
This attention to detail is what separates average results from exceptional cosmetic outcomes.
Dental Bonding Procedure Explained Simply
Patients often appreciate knowing what to expect during treatment. The dental bonding process is simple and efficient:
-
Tooth surface is gently prepared for adhesion
-
Composite resin is applied and sculpted
-
A curing light hardens the material
-
Final shaping and polishing are completed
The entire process is usually painless and completed within a single appointment.
How to Care for Bonded Teeth
Although dental bonding is durable, proper care plays a vital role in maintaining results. Composite resin can stain over time if exposed frequently to dark-colored foods or beverages.
To keep bonded teeth looking their best:
-
Brush twice daily with a non-abrasive toothpaste
-
Floss regularly to protect gum health
-
Avoid biting hard objects
-
Schedule routine dental checkups
With good oral habits, bonded teeth can remain attractive for many years.
Comparing Dental Bonding with Other Treatments
Dental bonding is often compared with veneers and crowns. Each option serves a different purpose depending on cosmetic goals and tooth condition.
-
Bonding: Best for minor cosmetic corrections
-
Veneers: Ideal for long-term, dramatic smile changes
-
Crowns: Necessary when structural strength is required
A professional consultation helps determine which treatment aligns best with both aesthetic needs and oral health.
Confidence Starts with the Right Dental Choice
A confident smile can positively influence personal and professional interactions. Dental bonding offers a practical way to enhance your appearance while maintaining natural tooth structure and comfort.
For patients seeking reliable cosmetic dentistry backed by experience and patient-focused care, Dental Clinic Islamabad offers comprehensive dental solutions designed to protect oral health while enhancing smile aesthetics.


