Can I Get Stain Removal If I Have Braces or Aligners?
Gently remove surface stains for a brighter, cleaner smile with safe and effective dental stain removal treatments.
Maintaining a bright and healthy smile is something everyone desires, and one of the most common questions people ask is, “Can regular brushing really prevent dental stains?” The short answer is yes—but only to a certain extent. While brushing is essential for maintaining oral hygiene and keeping stains at bay, it is not the only solution for achieving a perfectly white smile. Understanding how stains form, how brushing helps, and what other treatments can enhance your oral health is key to maintaining that radiant look. If you’re searching for a Dental Clinic Near me or considering professional whitening options, knowing how to care for your teeth daily will help you make informed decisions about your oral health journey.
What Is Dental Staining and How Does It Occur?
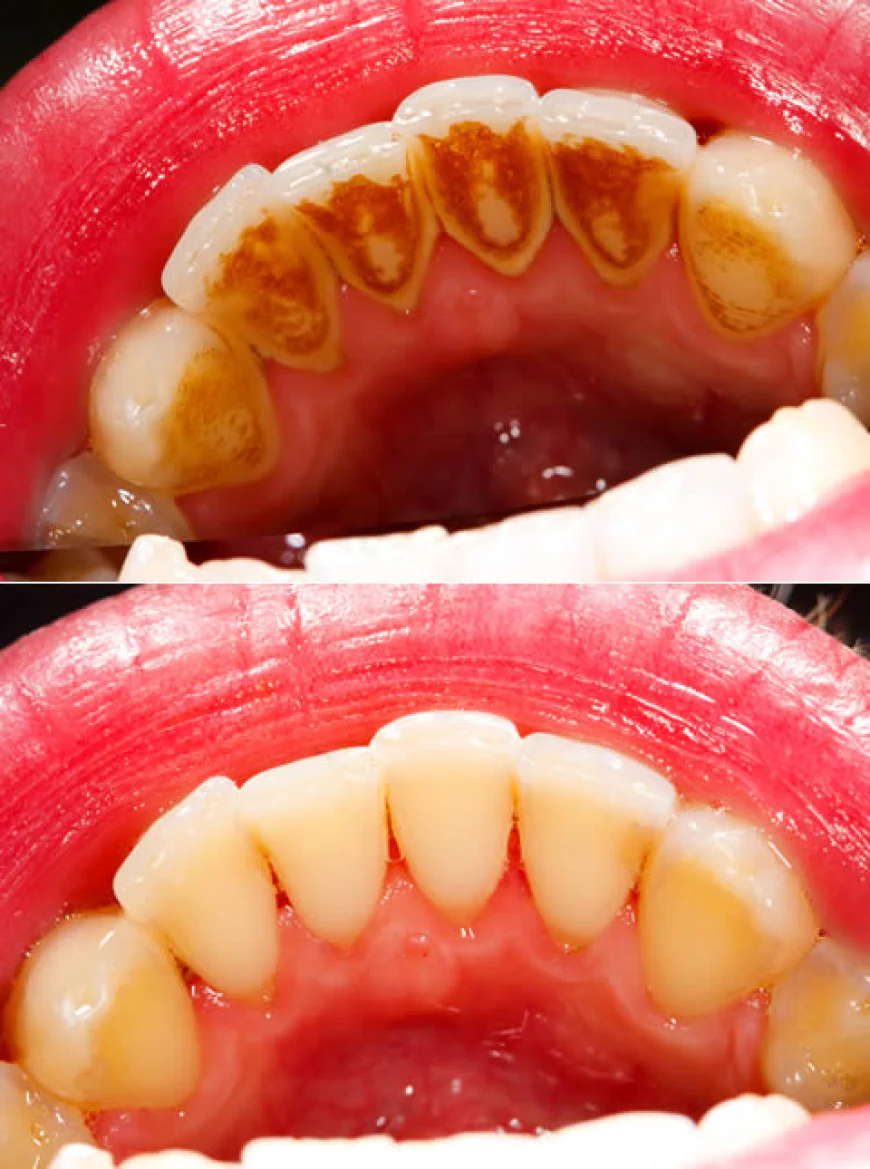
Dental Stain Removal in Dubai can be categorized into two main types—extrinsic and intrinsic. Extrinsic stains appear on the surface of the enamel due to external factors such as coffee, tea, red wine, or tobacco use. Intrinsic stains, on the other hand, develop within the tooth structure due to aging, trauma, or excessive fluoride exposure. While daily brushing helps remove surface-level plaque and food particles, it may not fully eliminate deeper or persistent discoloration.
Brushing with a fluoride toothpaste at least twice a day can significantly reduce the buildup of plaque and minimize new stains. However, stains that have already penetrated the enamel require professional intervention. Using an electric toothbrush or whitening toothpaste can help maintain the brightness achieved through dental treatments.
Importance of Regular Brushing and How It Works:
Brushing helps by mechanically removing debris, plaque, and bacteria that contribute to both staining and decay. Toothpaste formulations often contain mild abrasives that polish the enamel and prevent the adhesion of new pigments. Additionally, fluoride strengthens enamel, making it more resistant to discoloration and decay.
The effectiveness of brushing also depends on technique and consistency. Circular motions, gentle pressure, and the use of soft-bristled brushes can clean efficiently without damaging the enamel. For hard-to-reach areas, flossing and mouth rinses play an important supporting role.
Key benefits of regular brushing include:
-
Preventing plaque buildup and surface discoloration
-
Reducing the risk of gum disease and tooth decay
-
Keeping the breath fresh and the mouth healthy
-
Maintaining results after professional cleaning or whitening treatments
However, even with proper brushing habits, some stains are too deep to remove without professional help, which is why dental treatments become necessary.
Types of Treatments for Dental Stains:
Professional treatments for dental stains vary depending on their severity and cause. The most common options include:
-
Professional Cleaning (Scaling and Polishing): Removes hardened plaque (tartar) and superficial stains from the tooth surface.
-
Teeth Whitening: Uses bleaching agents like hydrogen peroxide to lighten intrinsic discoloration.
-
Microabrasion: Combines chemical and mechanical techniques to remove superficial enamel imperfections.
-
Veneers or Bonding: For deeper, resistant stains, cosmetic coverings can mask discoloration while improving the shape of teeth.
These procedures are usually performed by experienced Dentists in Dubai or dental specialists worldwide who tailor the treatment to your specific needs.
Preparation Before Treatment:
Before undergoing any stain-removal or whitening procedure, it’s important to prepare your teeth properly. A dental consultation is essential to evaluate the condition of your teeth and gums. During this assessment, the dentist identifies the cause of discoloration—whether it’s extrinsic staining from food or intrinsic factors from aging or medication.
Steps to prepare for treatment include:
-
Maintaining good oral hygiene at home for at least two weeks before treatment
-
Avoiding staining foods and drinks like coffee, red wine, and berries
-
Quitting smoking or using tobacco products
-
Scheduling a professional cleaning if plaque buildup is present
Proper preparation ensures optimal results and minimizes the risk of tooth sensitivity during or after whitening.
Aftercare and Maintenance:
After professional whitening or cleaning, maintaining the results depends largely on your oral care routine. Brushing twice a day with a non-abrasive toothpaste helps prolong the brightness. Avoiding foods and beverages that cause staining is also essential—if you do consume them, rinse your mouth or brush shortly after.
Follow these aftercare tips:
-
Use a straw for colored beverages
-
Rinse with water or mouthwash after eating or drinking
-
Brush with fluoride toothpaste and floss daily
-
Schedule regular dental cleanings every six months
Adhering to these habits not only prevents new stains but also supports gum and enamel health.
Who Is an Ideal Candidate for Whitening Treatments?
Not everyone is a suitable candidate for whitening or cosmetic dental treatments. The ideal candidate typically has healthy gums, no untreated cavities, and stains caused primarily by external factors like food, drinks, or smoking. Intrinsic stains from medications or trauma may require alternative treatments like veneers.
Pregnant or lactating women and individuals with hypersensitive teeth may be advised to postpone whitening until a later time. Consultation with a dental expert ensures the chosen treatment is safe and effective for your specific needs.
How to Choose the Right Dental Clinic?
Choosing a reliable clinic is as important as the treatment itself. If you’re searching for a Dental Clinic Near me in Dubai, look for clinics that offer advanced whitening technologies, qualified dental professionals, and excellent hygiene standards.
Here’s what to consider:
-
Check online reviews and patient testimonials
-
Verify the dentist’s qualifications and certifications
-
Ensure the clinic uses modern equipment and follows strict sterilization protocols
-
Ask about follow-up care and aftercare advice
For those seeking trusted care, the Dental Clinic Near me and other reputed centers provide comprehensive oral care and cosmetic solutions, ensuring safety and lasting results.
Risks and Precautions:
Although teeth whitening and cleaning treatments are generally safe, some minor side effects may occur. The most common are tooth sensitivity and mild gum irritation. These effects are temporary and usually subside within a few days. Overuse of whitening products at home without professional supervision can damage the enamel or gums, which is why expert guidance is crucial.
To minimize risks:
-
Avoid over-the-counter whitening kits without consulting a dentist
-
Follow post-treatment instructions carefully
-
Use desensitizing toothpaste if you experience discomfort
-
Schedule regular dental checkups to monitor enamel health
Benefits of Preventive Care and Professional Treatment:
Combining daily brushing with professional care offers the best protection against dental stains and oral problems. The benefits include:
-
Enhanced appearance and confidence through a whiter smile
-
Improved oral hygiene and fresher breath
-
Long-term protection against decay and gum disease
-
Increased enamel strength and reduced risk of discoloration
Preventive care reduces the need for frequent whitening sessions and helps maintain naturally bright teeth over time.
Frequently Asked Questions:
1. How often should I brush to prevent stains?
Brushing twice a day—morning and night—is sufficient for most people, along with daily flossing.
2. Does whitening damage enamel?
When performed by a professional, whitening treatments are safe and do not harm enamel.
3. How long do whitening results last?
Results can last from six months to two years, depending on lifestyle and oral hygiene habits.
4. Can I use whitening toothpaste daily?
Yes, but choose one with gentle abrasives to avoid enamel wear.
5. Are natural remedies effective for stain removal?
Some natural methods can help mildly, but they are not as effective or safe as professional treatments.
Conclusion:
So, can regular brushing prevent dental stains? The answer lies in balance—while brushing plays a crucial role in preventing new stains and maintaining oral hygiene, it cannot completely reverse deep discoloration. Combining consistent home care with professional cleaning or whitening provides the best results for a naturally bright, healthy smile. Whether you’re looking for a Dental Clinic Near me or professional Dentists in Dubai, choosing the right care ensures your teeth remain stain-free and strong for years to come. Regular brushing, professional maintenance, and mindful habits together pave the way to a lasting, confident smile.


